Common Orthodontic Problems or Malocclusion

Orthodontic concerns are more common than many people realize, most smiles are not naturally perfect. A “bad bite,” also known as malocclusion, can impact more than just appearance. It may interfere with chewing, oral hygiene, speech, and even self-confidence.

These bite problems can be inherited or may result from habits and conditions such as thumb sucking, dental disease, poor oral hygiene, injury, birth defects, or other health factors.

Understanding the type of orthodontic issue you or your child may have is the first step toward achieving a healthier, more confident smile. With customized treatment from Drs. Kyint and Evan Chwa, you can improve both the function of your bite and the beauty of your teeth.

Below are some of the most common orthodontic problems we treat:
Protrusion Janzen & Chwa Orthodontics in Northbrook, IL

Upper Front Teeth Protrusion

When the upper teeth extend too far forward, or the lower teeth do not extend forward enough, it can affect both appearance and function. This condition may also increase the risk of injury to the upper front teeth.

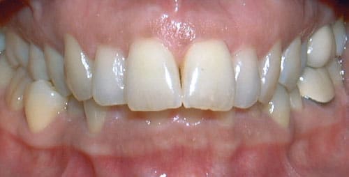
Overbite Janzen & Chwa Orthodontics in Northbrook, IL

Overbite

In this case, the upper front teeth overlap the lower front teeth, sometimes so much that the lower teeth bite into the roof of the mouth. Severe overbites can also lead to jaw discomfort or uneven tooth wear.

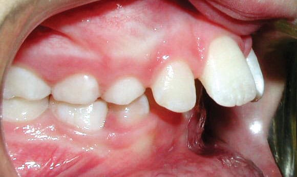
Crossbite Janzen & Chwa Orthodontics in Northbrook, IL

Crossbite

A crossbite occurs when the upper teeth sit inside the lower teeth, which may cause jaw misalignment and uneven growth. If left untreated, it can also contribute to uneven wear on the teeth.

Open Bite Janzen & Chwa Orthodontics in Northbrook, IL

Open Bite

With an open bite, the upper and lower front teeth do not overlap, making chewing difficult. It may also contribute to habits like tongue thrusting. Speech difficulties are also commonly linked to open bites.

Crowding Janzen & Chwa Orthodontics in Northbrook, IL

Crowding

When there isn’t enough room in the mouth for teeth to properly erupt, crowding occurs. Often, this can be corrected with orthodontic expansion, avoiding the need for extractions. Crowding may also make it harder to properly clean teeth, leading to oral health issues.

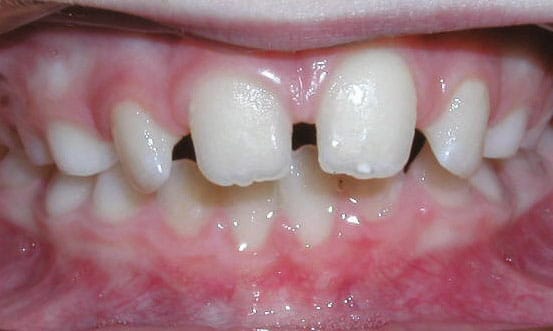
Spacing Janzen & Chwa Orthodontics in Northbrook, IL

Spacing

Gaps between teeth may be caused by missing teeth or may simply be cosmetic in nature, affecting the overall look of the smile. Orthodontic treatment can help close these spaces for a more uniform appearance.

Underbite Janzen & Chwa Orthodontics in Northbrook, IL

Underbite

In an underbite, the lower jaw extends beyond the upper jaw, causing the lower front teeth to sit in front of the upper front teeth. This condition can sometimes lead to difficulties with chewing or speaking.